目次
75歳男性:
すい臓がんステージ4・手術後肝転移、
治療開始約4ヶ月で
肝臓の転移がんが改善
手術後4年の転移/ステージ4
およそ5年前にすい臓がんと診断されて根治手術を行ったとされる症例です。ところが、4年が経過した頃に肝臓の多発性転移が発見されて、再発すい臓がんステージ4と診断されてしまいました。
そこで、標準治療としての全身の抗がん剤投与が検討されたのですが、高齢であり本人の拒否もあったことからその後の治療を断念してしまいます。
免疫治療を決断し
リスクチェッカー検査を実施
結局、その後の対処は本人にすべて委ねられてしまいました。しかし、引き続く腫瘍マーカーの著しい上昇が気になったため、副作用の少ない免疫治療を希望して腫瘍免疫外来を受診されたのです。そこで、がん免疫の状況を詳細に調べるがん高度精密血液検査システム「▶︎リスクチェッカー」検査が実施されたのです。
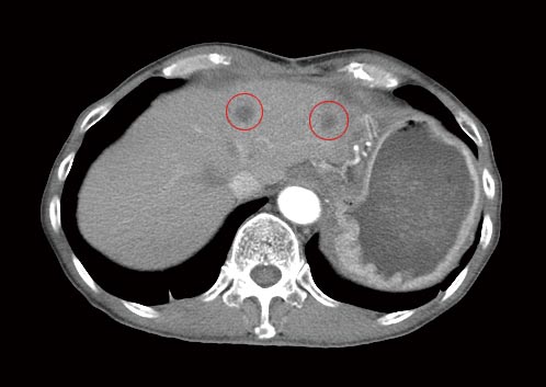
治療前のCT検査
腹部CTによって肝臓の左右(左葉と右葉)に、それぞれ直径1.5センチ程度の転移性がんが認められました。
過去に実施した手術後の再発であることを考えると、確かに根治はほとんど期待できない状況にありました。

治療前のリスクチェッカー検査結果
がん腫瘍への免疫応答をになう抗がん性サイトカインの一つに著しい低下を認めるとともに、予後不良を示唆するヘルパーTh2細胞比率の上昇もあり、早急なる免疫対処の重要性が示唆されました。


このようにリスクチェッカーで検査することで、従来の検査方法では発見しづらかった”がん”に関する様々な”サイン”を、より詳細に見つけ出すことができます。東京MITクリニックでは、一人ひとり異なる細胞現状を正確に把握し、一人ひとりに適した治療法をご案内しています。まずはお気軽にご相談ください。(電話相談無料 >>)
治療ポイントと治療方法
【治療ポイント】
1. 残る2種の抗がん性サイトカインは良好に保たれていたため、短期間のサイトカイン誘導を実施する。
2. 根治手術後の再発であり、ヘルパーTh2系細胞における数値上昇もあることを勘案し、がん細胞表面の識別マーカーの再発現とそれによる獲得免疫の再発動が望まれました。
【選択された治療】
ネオアンチゲン複合免疫治療の中から以下を選択
・サイトカイン誘導を実施
・ペプチド誘導(MHCクラスⅠペプチド)を実施
【治療の結果】
関連法令及びガイドラインに則り、治療の結果は 問合せフォーム>> または フリーダイヤル>> でお問合せ下さい。
治療にかかった費用(税込)
| 初診料(初回) | 22,000円(税込) |
| 再診料(5日) | 27,500円(税込) |
| リスクチェッカー検査 | 132,000円(税込) |
| ペプチド誘導(2回) | 1,144,000円(税込) |
| サイトカイン誘導(3ヶ月) | 237,600円(税込) |
| 血液検査(経過観察用:3回) | 24,750円(税込) |
| その他雑費(消耗品) | 3,520円(税込) |
| 合計費用 | 1,591,370円(税込) |
※こちらのすい臓がん症例は、ご本人のがん病状に対する治療の一例です。例え、同一のがん種であったとしても、その医療判断/対処は個々人において様々であることも事前にご考慮願います。なお、診療費用にかかわる医療費控除については、確定申告の際に各自の申請をお願いしています。ご不明な点は居住地を管轄する税務署にご確認ください。
担当医 宇野克明
東京MITクリニック院長・医学博士
Katsuaki Uno
がん免疫治療と向き合って38年。中でも1999年に細胞の免疫性に着目してがんを診断するがん免疫ドック(現リスクチェッカー)を開発し、2000年にそのシステムを用いて免疫細胞の疲弊状態「免疫枯渇現象」、ならびに免疫細胞の機能障害「リンパ球失調(サイトカインストーム)」の存在を報告。2012年には精密がん免疫検査システム「がん免疫ドック」の解析ロジックを改良し新たにリスクチェッカー検査としてリリースしました。そして2012年9月東京MITクリニック開設。2014年9月医療法人社団東京MIT設立・理事長就任。著書多数。


[受付時間] 平日 10:00〜18:30(土日祝日を除く)
問合せフォームからのご質問

あなたのがんに該当する
免疫治療実例や
リスクチェッカー資料を
無料でお届けします
がん免疫治療の実例症例や関連資料を▶︎郵送でお届けします。なお▶︎ダウンロードによるPDF(総合案内版のみ)もお選び頂けます。
検査・初診のご予約







