ホーム » 大腸がん(症例1)
目次
64歳男性:
大腸がん手術後に多発性肝転移、
治療開始6ヶ月で転移がんはほぼ消滅
抗がん剤治療開始3ヶ月後に
多発性の肝転移が出現し治療断念
大腸がん(S状結腸)の診断にて2年前に手術を実施された方です。手術後およそ3ヶ月を経過した時点から腫瘍マーカーの再上昇が認められ、点滴による全身抗がん剤治療を開始されました。しかし抗がん剤治療開始3ヶ月後に多発性の肝転移が出現。副作用も非常に強かったため、この時点で治療断念となられた方です。
抗がん性サイトカインの著しい低下
ヘルパーT細胞2系(Th2) 比率の上昇
やむなく雑誌で見かけた食事療法やリンパ球療法、高濃度ビタミンC治療も併用しましたが、なかなか効果が認められず、当院外来を受診されました。
即座にがん免疫の状況を詳細に調べる高度精密血液検査システム「リスクチェッカー」を実施。それにより抗がん性サイトカインの著しい低下(抗がん性免疫力がほとんど失われた状態)と、短命になりがちなヘルパーT細胞2系(Th2) 比率の上昇が確認されました。

大腸がん・高度精密血液検査
血液中のがん異常シグナルを発見
27項目血液検査リスクチェッカー>>
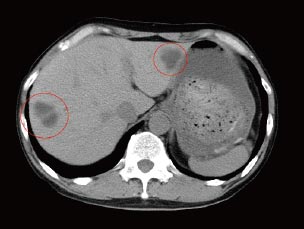
免疫治療前のCT検査
治療前CT(下の画像)では肝臓の右葉・左葉に存在する肝転移病巣が認められます。

免疫治療前の
リスクチェッカー検査結果
リスクチェッカーにより、抗腫瘍効果を反映するサイトカインの著しい低下と、それまでに実施した各種療法での改善効果が得られなかったことが示されました。またヘルパーTh2細胞比率の上昇は今後の予後不艮を強く示唆すものであり、早急なる免疫治療とその改善対策が求められました。

このようにリスクチェッカーで検査することで、従来の検査方法では発見しづらかった”がん”に関する様々な”サイン”を、より詳細に見つけ出すことができます。
東京MITクリニックでは、一人ひとり異なる細胞現状を正確に把握し、一人ひとりに適した治療法をご案内しています。まずはお気軽にご相談ください。(電話相談無料 >>)
大腸がん免疫治療の
ポイントと治療方法
【治療ポイント】
1 サイトカイン減少による、抗がん性免疫力の欠如。
2 免疫学的がん消滅(アポトーシス反応)の促進を図るため、細胞内部・ミトコンドリアヘの強化治療対策を実施。
3 残存するがん細胞の捕捉向上を目的に、がんの表面蛋白(HLA抗原)発現を強化。
【選択された治療】
1 効果的なリンパ球刺激策を与えるサイトカイン誘導治療としてCS-82MD内服。
2 アポトーシス誘導治療としてアポトーゼMT300内服。
3 内因性ペプチド誘導治療としてEPI complex点滴を実施。
【治療の結果】
関連法令及びガイドラインに則り、治療の結果は 問合せフォーム>> または フリーダイヤル>> でお問合せ下さい。

大腸がん・免疫治療

※こちらの大腸がん症例は、ご本人のがん病状に対する治療の一例です。例え、同一のがん種であったとしても、その医療判断/対処は個々人において様々であることも事前にご考慮願います。なお、診療費用にかかわる医療費控除については、確定申告の際に各自の申請をお願いしています。ご不明な点は居住地を管轄する税務署にご確認ください。

フリーダイヤルで
大腸がんの無料相談が
今すぐ受けられます。

[受付時間] 平日 10:00〜18:30(土日祝日を除く)
がんの疑問や免疫治療に関するご質問、
治療期間、治療例、検査方法、費用など、
お気軽にご面談、ご相談ください。
初回は当院専任の免疫治療アドバイザーがご対応します。
医師へのご相談ご希望の方はお電話の際申しつけください。
ご家族の方もご相談いただけます。





