目次
58歳男性:
すい臓がんの手術後に
多発性の肝転移が出現。
免疫治療開始からおよそ6ヶ月で
著効に至る。
手術後に転移発覚/ステージ4
58歳男性:2年前に人間ドックを受診した際、すい臓に腫瘍の影らしき所見を指摘されていたそうです。その後、精密検査を目的に受診した総合病院でステージ2のすい臓がんと診断を受け、勧められるまま標準的な根治手術をお受けになった症例です
手術後の経過は一見順調そうに見えましたが、一年ほど経過の時点でCT検査を実施。結局、肝臓に多発性の転移病巣が発見されてしまい、ステージ4の診断に。やむなく標準的な抗がん剤治療による延命を試みましたが、その効果は得られず病状も徐々に進行してしまいます。この時点になると、肝臓に転移したがん腫瘍も十カ所以上に増加し、がんの活動性指標である腫瘍マーカーにも大幅な上昇が認められるようになりました。
免疫治療を決断
こうした深刻な病状を携えて腫瘍免疫外来を受診されました。そこで、治療担当の宇野医師は肝臓に多発性の転移が増えつつある状況を勘案し、即座にがん専門/高度精密血液検査システム「リスクチェッカー」検査の実施を勧めました。
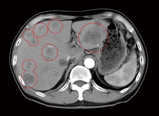
治療前のCT検査結果
治療前CTでは、肝臓全域に広がる多数の肝転移病巣が認められました。

治療前のリスクチェッカー検査結果
この症例では、幸いにも抗がん性免疫応答の中心をなす抗がん性サイトカインの数値に大きな変動が無い一方で、予後不良を指し示すヘルパーT細胞2系(Th2)比率の軽度上昇が確認されました。そこで、こうした状況を勘案すると、意外にシンプルな免疫治療のみで免疫応答性が回復できる可能性あると考え、以下のような治療方針が策定されました。


このようにリスクチェッカーで検査することで、従来の検査方法では発見しづらかった”がん”に関する様々な”サイン”を、より詳細に見つけ出すことができます。東京MITクリニックでは、一人ひとり異なる細胞現状を正確に把握し、一人ひとりに適した治療法をご案内しています。まずはお気軽にご相談ください。(電話相談無料 >>)
治療ポイントと治療方法
【治療ポイント】
1. 抗がん性サイトカインの数値は良好に保たれていたため、獲得免疫系で最も重要な識別マーカー「MHCクラスⅠペプチド」の発現促進が治療の中心に据えられました。
2. その上で、内服治療によるアポトーシス(プログラム細胞死)の誘導が計画されたのです。
【選択された治療】
ネオアンチゲン複合免疫治療の中から以下を選択
・ペプチド誘導(MHCクラスⅠペプチド)の実施
・アポトーシス誘導(プログラム細胞死の誘導)の併用
【治療の結果】
関連法令及びガイドラインに則り、治療の結果は 問合せフォーム>> または フリーダイヤル>> でお問合せ下さい。
診療費用(税込)
| 初診料(初回) | 22,000円 |
| 再診料(4日) | 22,000円 |
| リスクチェッカー検査 | 132,000円 |
| ペプチド誘導(2回) | 1,144,000円 |
| アポトーシス誘導(3ヶ月) | 316,800円 |
| 血液検査(経過観察用:3回) | 24,750円 |
| その他雑費(消耗品) | 3,520円 |
| 合計費用 | 1,665,070円(税込) |
※こちらのすい臓がん症例は、ご本人のがん病状に対する治療の一例です。例え、同一のがん種であったとしても、その医療判断/対処は個々人において様々であることも事前にご考慮願います。なお、診療費用にかかわる医療費控除については、確定申告の際に各自の申請をお願いしています。ご不明な点は居住地を管轄する税務署にご確認ください。
無料アドバイス LINEで写真を送るだけ



