目次
62歳男性:胃がん手術後に多発性肝転移。治療開始約12ヶ月で肝臓の多発性転移がんが概ね改善。

手術後に転移/ステージ4
発病の1年前から自覚していた腹部の違和感を放置。翌年の人間ドックにて胃の精密検査が指示され、受診した病院で胃がん/ステージ3と診断されてしまった症例です。そこで1ヶ月半の後に胃がん手術(亜全摘:5分の4を摘出)を行いましたが、傷の回復と同時に標準治療である全身抗がん剤の点滴投与が併用されることになりました。
しかしながら、点滴による抗がん剤治療の副作用があまりに強く、内服による抗がん剤(TS-1)治療に変更されてしまいます。こうして6ヶ月が経過した頃、CT検査によって肝臓に発生した多数の転移病巣が発見され、この時点で「胃がん/ステージ4」との判定が下されてしまったのです。結局、かかり付け担当医の見立てによると、「ステージ4で完治の見込みはなく、延命を目指して抗がん剤を継続」との説明を受け、標準治療を断念してしまいます。
免疫治療を決断し、
リスクチェッカー検査を実施
そのような時に知人の薦めによって数種類のサプリメントを内服し始めます。さらに、自身のリンパ球(免疫細胞)を体外で増殖させた後に、再び体に戻すという免疫療法を併用してみましたが効果は現れません。そうして肝臓の転移病巣がさらに増加してきた時点で当院の腫瘍免疫外来を受診することになりました。

胃がん・高度精密血液検査
血液中のがん異常シグナルを発見
27項目血液検査リスクチェッカー ▶︎
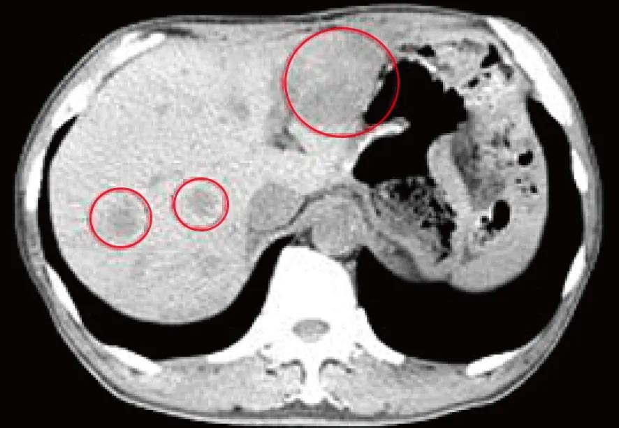
治療前のCT検査結果
肝臓に広がる多発性の肝転移病巣(赤マルで囲んだ3カ所)が認められました。

治療前のリスクチェッカー検査結果
病状経過として肝臓の転移病巣が増加しつつあるため、即座にがんに対する免疫応答を詳細に調べるがん専門/高度精密血液検査システム「リスクチェッカー」検査が実施されました。その結果、抗がん性の免疫応答に不可欠なサイトカインの数値がどれも大幅に低下、少なくともこの状況を打破しなければさらなるがん腫瘍の増大は避けられないものと判断されました。

このようにリスクチェッカーで検査することで、従来の検査方法では発見しづらかった”がん”に関する様々な”サイン”を、より詳細に見つけ出すことができます。東京MITクリニックでは、一人ひとり異なる細胞現状を正確に把握し、一人ひとりに適した治療法をご案内しています。まずはお気軽にご相談ください。(電話相談無料 >>)
治療ポイントと治療方法
【治療ポイント】
1.手術後にも残存したがん細胞表面の識別マーカー「MHCクラスⅠペプチド」の再発現を誘導。
2.抗がん性サイトカインすべての大幅な減少に際し、速やかな改善を図るサイトカイン誘導を促進。
3.がん腫瘍に対する免疫応答の補助を図り、アポトーシス(プログラム細胞死)の誘導を促進。
【選択された治療】
ネオアンチゲン複合免疫治療の中から以下を選択
・ペプチド誘導(MHCクラスⅠペプチド)を実施
・サイトカイン誘導を併用
・アポトーシス誘導(プログラム細胞死の誘導)を併用
【治療の結果】
関連法令及びガイドラインに則り、治療の結果は 問合せフォーム>> または フリーダイヤル>> でお問合せ下さい。
診療費(税込)
| 初診料(初回) | 22,000円 |
| 再診料(5日) | 27,500円 |
| リスクチェッカー検査 | 132,000円 |
| ペプチド誘導(2回) | 1,144,000円 |
| アポトーシス誘導(2ヶ月) | 211,200円 |
| サイトカイン誘導(2ヶ月) | 158,400円 |
| 血液検査(経過観察用:3回) | 19,800円 |
| その他雑費(消耗品) | 2,420円 |
| 合計費用 | 1,898,820円(税込) |
※こちらの胃がん症例は、ご本人のがん病状に対する治療の一例です。例え、同一のがん種であったとしても、その医療判断/対処は個々人において様々であることも事前にご考慮願います。なお、診療費用にかかわる医療費控除については、確定申告の際に各自の申請をお願いしています。ご不明な点は居住地を管轄する税務署にご確認ください。




