目次
58歳男性:胃がん手術後に肝転移、
ステージ4(余命6ヶ月)。
治療開始約10ヶ月で
転移がんの活動性ほぼ消滅
転移発覚/余命は6ヶ月
当院に来院される2年ほど前に胃がんと診断され、胃の4/5ほどを切除する亜全摘手術を受けた症例です。
手術後は併用した抗がん剤内服の副作用によって、食欲低下と疲労感に悩まされたと言います。そして、それらの治療から1年半を経て実施したCT検査によって、肝臓のおよそ半分を占める転移性のがん病巣が発見されてしまいます。手術を担当した主治医からは、転移によって胃がん/ステージ4の状況にあり、統計的な残り余命が3~6ヶ月程度であること。加えて、抗がん剤の効果もあまり期待はできません、と判定されてしまいました。
免疫治療を決断
リスクチェッカー検査を実施
その後はインターネット等で調べた数種のサプリメントや点滴等を実施。しかしながら、大きな改善もなく病状は徐々に悪化してしまいます。さらに定期的にチェックしていた腫瘍マーカーも著しく上昇し始めたため、当院の腫瘍免疫外来を受診されました。
そこで、状況を把握した上でがん専門/複合血液検査プログラム「リスクチェッカー」検査の重要性を説明。そして免疫治療がスタートしたのです。抗がん性サイトカインのバランス不良、NK細胞活性の異常上昇、さらに予後不良マーカーを示すTh2比率の異常上昇も確認されました。
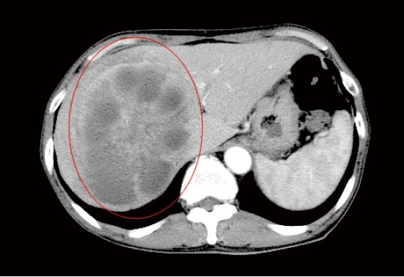
治療前のCT検査結果
肝臓の右側(右葉という区域)に大きく広がる転移性のがん病巣が認められました。

治療前のリスクチェッカー検査結果
抗がん性免疫応答をになうサイトカイン(インターロイキン12)が著しく低下しており、一部に強い免疫疲弊(めんえきひへい)が存在することが判明します。さらに、ヘルパーTh2細胞比率の著しい上昇が今後の予後不良を強く示唆しており、早急な免疫状況の改善が勧められました。


胃がん・高度精密血液検査
血液中のがん異常シグナルを発見
27項目血液検査リスクチェッカー ▶︎
治療のポイントと治療方法
【治療ポイント】
1. 免疫疲弊をもたらす抗がん性サイトカインの生成不良に対し、新たなサイトカイン誘導が必要。
2. 肝臓の広い部分を占める転移病巣に対し、効果発現の促進を図るペプチドの誘導が必要と判断。
3. さらに、がん腫瘍の消滅の促進を図るため、アポトーシス(プログラム細胞死)誘導が必要。
4.加えて、免疫学的検査/がん関連抗原検査の結果や、CT画像により巨大な転移性がん腫瘍があることを総合的に判断すると、かなり差し迫った重症度の高い症例であると考えました。
【選択された治療】
ネオアンチゲン複合免疫治療の中から以下を選択
・サイトカイン誘導を実施
・ペプチド誘導(MHCクラスⅠペプチド)の併用
・アポトーシス誘導(プログラム細胞死の誘導)の併用
【治療の結果】
関連法令及びガイドラインに則り、治療の結果は 問合せフォーム>> または フリーダイヤル>> でお問合せ下さい。
診療費(税込)
| 初診料(初回) | 22,000円 |
| 再診料(6日) | 33,000円 |
| リスクチェッカー検査 | 132,000円 |
| ペプチド誘導(3回) | 1,716,000円 |
| アポトーシス誘導(2ヶ月) | 211,200円 |
| サイトカイン誘導(3ヶ月) | 237,600円 |
| 血液検査(経過観察用:3回) | 19,800円 |
| その他雑費(消耗品) | 2,420円 |
| 合計費用 | 2,374,020円(税込) |
※こちらの胃がん症例は、ご本人のがん病状に対する治療の一例です。例え、同一のがん種であったとしても、その医療判断/対処は個々人において様々であることも事前にご考慮願います。なお、診療費用にかかわる医療費控除については、確定申告の際に各自の申請をお願いしています。ご不明な点は居住地を管轄する税務署にご確認ください。




