目次
65歳男性:肺がんによる骨転移、ろっ骨浸潤により根治手術が不可能と判定。治療後、がん腫瘍の縮小が認められ手術併用も十分視野に入る改善が認められた。
抗がん剤治療への苦い記憶
頑固な気管支炎になって近隣クリニックを受診した際、撮影した胸部レントゲン写真で右肺の異常が指摘されました。所見的にも進行性の肺がんと判断して矛盾なく、CTを含む画像診断を実施。その結果、「肺腺がん、および隣接したろっ骨への浸潤」と診断された症例です。その医療機関では、肺ならびにろっ骨への浸潤があるため、「標準治療としての手術は不可能、延命対策としての抗がん剤治療が勧められる」との判断が示されました。しかし、当人は過去に親戚が肺がんに罹患した経験を持ち、その際に実施された抗がん剤治療の副作用について苦い記憶があったと言います。
急がれる病状
リスクチェッカー検査を実施
その結果、その医療機関での治療を一切中止し、その後は自身が購入した書籍等を参考に腫瘍免疫外来を受診とのお話しでした。そこで、急がれる病状でもあったため、即座に複合血液検査プログラム「リスクチェッカー」検査が実施され、腫瘍の増殖により生じた免疫異常や、複数のがん関連抗原検査によるがん活動性の調査が行われました。

肺がん・血液検査
血液中のがん異常シグナルを発見
27項目血液検査リスクチェッカー ▶︎
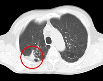
治療前のCT検査結果
治療前CTでは右肺の背面に原発性の肺がんと、その周囲のろっ骨浸潤が認められた。 この状況では手術による根治はほとんど期待できません。

治療前のリスクチェッカー検査結果
抗腫瘍効果の中心をなす抗がん性サイトカインの2種に著しい低下が認められ、極度に免疫力が失われた「免疫疲弊(めんえきひへい)」と呼ばれる状況にあることが判明しました。加えて、ご本人が標準治療としての抗がん剤を一切受け入れない点を考慮すると、早急なる追加治療の実施/病状の改善が求められました。

このようにリスクチェッカーで検査することで、従来の検査方法では発見しづらかった”がん”に関する様々な”サイン”を、より詳細に見つけ出すことができます。東京MITクリニックでは、一人ひとり異なる細胞現状を正確に把握し、一人ひとりに適した治療法をご案内しています。まずはお気軽にご相談ください。(電話相談無料 >>)
治療ポイントと治療方法
[治療ポイント]
1.著しい抗がん性サイトカインの減少(免疫疲弊)に対する免疫応答の強化補強。
2.未切除のままのがん細胞表面に、識別マーカー「MHCクラスⅠペプチド」の誘導を強化。
3.がん腫瘍の増大阻止に向けて、アポトーシス(プログラム細胞死)誘導による治療補強。
【選択された治療】
ネオアンチゲン複合免疫治療の中から以下を選択
・サイトカイン誘導を実施
・ペプチド誘導(MHCクラスⅠペプチド)を実施
・アポトーシス誘導(プログラム細胞死の誘導)を実施
【治療の結果】
関連法令及びガイドラインに則り、治療の結果は 問合せフォーム>> または フリーダイヤル>> でお問合せ下さい。

肺がん・免疫治療
治療費用(税込)
| 初診料(初回) | 22,000円 |
| 再診料(6日) | 33,000円 |
| リスクチェッカー検査 | 132,000円 |
| ペプチド誘導(3回) | 1,716,000円 |
| アポトーシス誘導(3ヶ月) | 316,800円 |
| サイトカイン誘導(3ヶ月) | 237,600円 |
| 血液検査(経過観察用:3回) | 24,750円 |
| その他雑費(消耗品) | 2,090円 |
| 合計費用 | 2,484,240円(税込) |
※こちらの肺がん症例は、ご本人のがん病状に対する治療の一例です。例え、同一のがん種であったとしても、その医療判断/対処は個々人において様々であることも事前にご考慮願います。なお、診療費用にかかわる医療費控除については、確定申告の際に各自の申請をお願いしています。ご不明な点は居住地を管轄する税務署にご確認ください。








