胃がんの症状・再発・転移に不安を感じている方へ
ご家族の方もご相談いただけます
目次
- 1)胃がんとは
- 2) 胃の役割と免疫の関係
- 3) “胃がん”が発生する部位(場所)
- 4) 進行すると治療が難しくなる
- 5) 胃がんの症状
- 6) 痛み、身体的弊害
- 7) 転移
- 8) なぜ“胃”でがんが発症するのか
- 9) 標準治療の内容
- 10) 一般検査の種類(一部自由診療)
- 11) 高度精密血液検査リスクチェッカーの必要性
・標準検査の“死角”“がん”は異常を隠し平静を装う
・その標準検査の死角を埋めるリスクチェッカー - 12) 標準治療の副作用一覧
- 13) 「手立てがない」と言われる理由
- 14) ステージ4=末期、手の施しが無いと告げられても、まだ選べる治療法がある
- 15) 免疫から隠れる“胃がん”の正体
- 16) 異常を隠して平静を装う“がん”を暴く ― MHCクラスⅠ誘導型免疫治療
- 17) 胃がん治療症例①②③
- 18) 異常を隠して平静を装う”がん”を見える化する『リスクチェッカー®』
- 19) “胃がん”よくある質問
- 20) 検査費、治療費、診療時間、アクセス
1) “胃がんとは“

胃がんは、胃の内側を覆う粘膜の細胞が異常に増殖し、腫瘍を形成する病気です。
日本では以前から発症数・死亡数ともに多いがんの一つであり、特に中高年以降で増加する傾向があり、その発症の背景には、生活習慣や食生活、ピロリ菌感染、遺伝的要因などが関与するとされています。
早期に発見できれば内視鏡による切除などで治療が可能な場合もありますが、自覚症状が出にくいため、進行してから見つかるケースも少なくありません。進行すると胃の周囲のリンパ節や肝臓、腹膜などへ転移することもあり、治療の難易度が高まります。そのため「胃がんとはどのような病気か」を正しく理解し、定期的な検査や早期発見につなげることがとても大切です。
※出典:国立がん研究センター がん情報サービス『大腸』(罹患2021・死亡2023)」
2) 胃の役割と免疫の関係

胃は、食べ物を一時的にため、細かく砕き、消化液と混ぜて小腸へ送り出す大切な臓器です。さらに、強い胃酸によって細菌やウイルスを殺菌し、体を外敵から守る「防御の砦」としての役割も担っています。
しかし、この防御の仕組みをすり抜ける存在があります。それが、胃の粘膜に発生するがん細胞です。
がん細胞は本来、免疫に排除されるべき“異物”ですが、① 正常細胞のふりをして免疫から隠れる ② 免疫細胞の働きを抑え込む、といった方法で攻撃を逃れてしまいます。そのため、胃がんは「免疫がうまく働かないがん」として進行し、発見が遅れると治療が難しくなります。胃の役割を知ることは、単に消化器としての理解にとどまらず、なぜ胃がんが異常を隠して平静を装うのか を理解する第一歩です。
胃がんの症状・再発・転移に不安を感じている方へ
ご家族の方もご相談いただけます

胃がんの治療症例請求
胃がんの治療症例やリスクチェッカー検査資料一式をご指定場所に郵送あるいはダウンロード頂けます(無料)

LINE画像無料アドバイス
お持ちのCTやMRI画像、診断資料を送信してくだされば宇野院長がアドバイス致します(無料)。

ご相談・お問合せフォーム
胃がんの症状・再発・転移に不安を感じている方で、お電話が難しい方はフォームからお問い合わせ下さい。
3) “胃がん”が発生する部位(場所)
胃は大きく「噴門部(ふんもんぶ)」「体部(たいぶ)」「幽門部(ゆうもんぶ)」などに分けられ、それぞれで発生する胃がんの特徴が異なります。

・噴門部(胃の入り口)
食道とつながる部分にできる胃がん。飲み込みにくさや胸のつかえ感などが症状として出ることがあります。
・体部(胃の中央部)
胃の真ん中にあたる場所。多くの胃がんがここで発生します。進行すると胃の働き全体に影響を及ぼすことがあります。
・幽門部(胃の出口)
小腸へつながる部分。出口が狭くなるため、食後の胃もたれや吐き気、嘔吐が起こることがあります。
発生部位によって症状の出方や進行のスピードが異なり、治療方針にも影響します。そのため「どの部位にがんがあるか」を理解しておくことは、今後の治療選択において大切です。
4) 進行すると治療が難しくなる

胃がんは、進行の度合いによって「ステージ(病期)」が分けられています。ステージが上がるにつれて、がんが広がる範囲や転移の有無が変化し、治療の選択肢や難易度も大きく変わります。
胃がんのステージ分類(一般的な目安)
■ ステージⅠ
・がんが胃の粘膜や粘膜下層にとどまっている状態。
・自覚症状がほとんどなく、検診や内視鏡で偶然発見されることも多い。
・内視鏡的切除や手術で治療可能なケースが多い。
■ ステージⅡ
・がんが胃壁の深い部分に広がったり、近くのリンパ節に転移している状態。
・手術を中心に治療が行われるが、再発のリスクも出てくる。
■ ステージⅢ
・がんがさらに広がり、複数のリンパ節や周囲の臓器に影響している。
・根治的な手術が難しくなる場合があり、抗がん剤との併用治療が検討される。
■ ステージⅣ
・肝臓や腹膜などへの遠隔転移が確認される状態。
・治癒を目指すことは難しく、治療の中心は延命や症状緩和が主体となる。ただし、新しい治療法の登場により、従来よりも治療の可能性が広がっている。
胃がんの症状・再発・転移に不安を感じている方へ
ご家族の方もご相談いただけます
5) 胃がんの症状
■ 初期症状(ステージ0〜I)
・ほとんど症状がない
■ 進行期の症状(ステージII〜III)
がんが大きくなると、腸の通過障害や全身への影響が現れてきます。
・胃もたれ、食欲不振
・吐き気や嘔吐
・食後の膨満感(お腹が張る感じ)
・体重減少
・貧血(顔色が悪い、めまいがする)
■ さらに進行した場合(ステージIV)
・強い胃痛
・出血による吐血や黒色便
・肝臓や腹膜への転移による腹部の腫れ、腹水
・全身の衰弱、極端な体重減少
■ 症状が出る頃には…
胃がんは、症状が出る段階ではすでに進行していることが多く、治療が難しくなる傾向があります。だからこそ、「症状がないうちに発見すること」 が最も大切です。
初期(ステージ0〜I):胃の粘膜内に限局/進行(ステージII〜III):胃壁の深部や周囲リンパ節へ浸潤/転移(ステージIV):肝臓・腹膜・肺など遠隔臓器へ拡がる
6) 痛み・身体的弊害
ここでは、進行すると 生活にどのような支障が出るか を整理します。
■ 通過障害(食べ物が通らない)
胃の出口(幽門部)にがんができると、食べ物が腸へ流れにくくなります。その結果、強い胃もたれ・嘔吐・食後の膨満感(お腹の張り) が起こり、十分に食事を取れなくなることがあります。
■ 出血と貧血
胃のがんは出血を伴うことがあり、吐血や黒色便(血が消化されて便が黒くなる)が見られることがあります。少量の出血でも長く続けば慢性的な貧血となり、だるさ・息切れ・集中力の低下 など、日常生活に影響が出ます。
■ 栄養障害・体力低下
食欲不振や通過障害により、必要な栄養が摂れない状態が続きます。その結果、体重減少や筋力低下、免疫力の低下が進み、治療そのものを続ける体力が保てなくなることもあります。
■ 腹部の痛み・膨満感
がんが胃壁や周囲に広がると、強い痛みやお腹の張りを感じるようになります。腹膜に転移した場合は腹水がたまり、より強い不快感や圧迫感を引き起こします。
■ 日常生活への影響
・食事が楽しめなくなる
・外出や社会生活の制限
・精神的な負担の増大
胃がんの進行は、体だけでなく心や生活の質にも大きな影響を及ぼします。
病状に当てはまる方はこちらからご相談ください
7) 転移
胃がんは進行すると、周囲や全身に広がっていきます。転移の仕方にはいくつかのパターンがあり、それぞれが治療の難しさにつながります。
■ リンパ節転移
胃の周囲には多くのリンパ節があり、がんはそこに最も早く広がります。リンパ節転移があると、切除範囲が広くなり、再発のリスクも高まります。
■ 腹膜播種(ふくまくはしゅ)
胃の外側を覆う腹膜にがん細胞が散らばる状態です。腹水がたまり、お腹の張りや強い痛みを引き起こすことがあります。
■ 肝転移
血液の流れを介して、がん細胞が肝臓に到達して増えることがあります。肝臓は栄養や代謝を担う臓器であるため、転移すると全身の体調に大きく影響します。
■ 肺転移・骨転移
さらに進行すると肺や骨など遠くの臓器に転移することもあります。呼吸困難や骨の痛みなど、生活の質に深刻な影響を及ぼします
■ 転移のメカニズム
胃がん細胞は、成長するにつれて血管やリンパ管へ入り込み、体のさまざまな場所へ運ばれます。この仕組みにより、リンパ節 → 腹膜 → 肝臓 → 肺・骨 へと転移が広がることがあります。

■ 再発と治療の難しさ
手術や薬物療法でいったん治療が成功しても、時間が経つと再びがん細胞が現れる「再発」があります。特に胃がんは手術後3年以内の再発率が高く、多くは腹膜播種や肝転移として現れます。再発が難しい理由は、ごく少数のがん細胞が残っていても通常の検査では見つけにくいこと、そして異常を隠して平静を装うがん細胞が生き残ることにあります。そのため、一度再発すると切除不能例が多く、根治的な手術が難しくなるほか、治療法も限られてきます。
こうした「異常を隠して平静を装うがん細胞」を捉えるには、MHCクラスⅠを利用した免疫の可視化が重要であり、再発予防や再発後の新しい治療選択肢につながります。
■ 転移・再発したらどうなるか
転移や再発をすると、がんとの長い付き合いが始まります。かつては薬物療法を中心に「耐えながら続ける」しかないことも多かったですが、近年はMHCクラスIのような免疫に着目した治療が加わり、状況は変わりつつあります。
胃がんの症状・再発・転移に不安を感じている方へ
ご家族の方もご相談いただけます

胃がんの治療症例請求
胃がんの治療症例やリスクチェッカー検査資料一式をご指定場所に郵送あるいはダウンロード頂けます(無料)

LINE画像無料アドバイス
お持ちのCTやMRI画像、診断資料を送信してくだされば宇野院長がアドバイス致します(無料)。

ご相談・お問合せフォーム
胃がんの症状・再発・転移に不安を感じている方で、お電話が難しい方はフォームからお問い合わせ下さい。
8) なぜ”胃”でがんが発症するのか
胃は食べ物を消化する重要な臓器ですが、その働きや環境ゆえに、がんが発症しやすい条件を抱えています。

■ ピロリ菌感染
もっとも大きな要因のひとつが ヘリコバクター・ピロリ菌 です。長年の感染により胃の粘膜に慢性的な炎症(萎縮性胃炎)が起こり、細胞の異常増殖からがんへ進展することがあります。
■ 食生活・生活習慣
・塩分の多い食事(漬物・加工食品など)
・喫煙や過度の飲酒
・野菜や果物不足
これらが胃粘膜に負担をかけ、発がんリスクを高めると考えられています。
■ 遺伝的要因
家族に胃がん患者がいる場合、体質的・遺伝的に発症しやすい傾向があります。
■ 胃の環境
胃は強い酸や消化酵素にさらされる臓器であり、粘膜にダメージが起こりやすい環境です。
この繰り返しが細胞の修復エラーにつながり、がんの芽を生み出すことがあります。
9) 標準治療の内容
胃の一部または全部を切除し、必要に応じて周囲のリンパ節も取り除きます。ステージII〜IIIの治療の中心となります。
■ 内視鏡治療(早期胃がんに特徴的)
ステージ0〜Iのごく早期で、がんが粘膜内にとどまっている場合は、開腹せず内視鏡で腫瘍を切除できることがあります(EMR/ESDと呼ばれる治療)。
■ 外科手術(切除術)
外科手術は、胃がん治療の中心となる標準的な方法です。これまでに数多くの患者さんの命を救い、最も確立された治療として広く行われてきました。胃の一部または全部を切除し、必要に応じて周囲のリンパ節も取り除きます。がんの進行度や部位によっては、術後に再発や転移が見られることもあり、その場合は薬物療法や放射線療法が追加されます。こうした治療を経ても十分な効果が得られないケースでは、MHCクラスIを含む免疫治療など新たな選択肢を検討される方も増えています。
● 適応できないケース:腫瘍が広範囲に及ぶ/他臓器に深く浸潤している/全身状態が悪く麻酔に耐えられない など。
● 体への影響:開腹や腹腔鏡での操作は身体への負担が伴うことがあります。術後は腸閉塞や感染などにリスクが伴う場合があります。また回復までには時間を要します。体調や年齢によっては、リハビリや食事管理が必要になる場合もあります。
■ 抗がん剤治療(化学療法)
抗がん剤や分子標的薬などを用いた治療です。進行期や再発した胃がんに対して行われることが多く、近年は免疫チェックポイント阻害薬が使われる場合もあります。副作用は個人差が大きく、投与量やスケジュールの調整、支持療法(制吐薬、G-CSF等)で軽減を図りますが、強い症状が出る場合は、治療の中断や再検討が必要になることもあります。
それでも続行困難な場合、治療方針の再検討が選択肢になります。抗がん剤治療は再発や転移に対して用いられますが、がんの増殖を抑える一方で、効果は時間とともに薄れていくことがあります。また抗がん剤は、がん細胞だけでなく正常な免疫細胞にも大きな影響を与え、体の防御機能を弱めてしまうことがあるため、その点も考慮が必要です。
代表的な薬剤と副作用例
● オキサリプラチン:手足のしびれや、冷たい物に触れたときに強い痛みを感じる「冷感過敏」。症状が進むと、日常生活に大きな支障をきたすほどの強い痛みや感覚異常に悩まされることもあります。
● イリノテカン:突然起こる激しい下痢や強い吐き気、骨髄抑制による白血球減少。体力を奪われ、日常生活が困難になるケースもあります。
● フルオロウラシル系:口内炎による食事のつらさ、全身の強い倦怠感、さらに骨髄抑制で感染症にかかりやすくなるなど、身体全体に大きな負担を感じることがあります。
■ 放射線治療
胃がんでは補助的に使われることが多く、特に出血のコントロールなどに利用されます。副作用として皮膚の赤みや下痢、倦怠感などが見られることがありますが、治療部位や体質によって差があります。
主な副作用
● 照射部位の皮膚の赤み・ただれ:衣服が擦れるだけでヒリヒリと痛みを感じ、日常生活に支障をきたすことがあります。
● 下痢や便通異常:急な下痢や便意が繰り返し起こり、外出が難しくなる場合もあります。
● 排尿時の不快感:排尿のたびにしみるような痛みや違和感が続き、排尿回数が増えることもあります。
● 全身の倦怠感:体が重く、何をするにも強い疲れを感じ、横にならずにはいられないことがあります。
治療の部位や体質によって症状は異なり、長期的な影響が残ることもあります。
胃がんの症状・再発・転移に不安を感じている方へ
ご家族の方もご相談いただけます
10) 一般検査の種類(一部自由診療)
| 検査の種類 | 内容・特徴 |
|---|---|
| 胃内視鏡検査(上部消化管内視鏡) | 粘膜を直接観察し、必要に応じて組織を採取(生検)。早期発見に最も有効。 |
| バリウム検査(胃透視) | バリウムを飲んでX線撮影。胃の形や動きを調べる。健診で用いられることも多い。 |
| 血液検査(腫瘍マーカー) | CEA、CA19-9など。進行度や治療効果の目安になるが、早期発見には不十分。 |
| 画像検査(CT/MRI/PET) | 転移や病変の広がりを調べるため。 |
| (自由診療)高度精密血液検査リスクチェッカー | 27項目の免疫・腫瘍関連因子を解析し、通常検査の“死角”を補い、見逃されやすいリスクを明らかにする。 |
11) 高度精密な血液検査の必要性
なぜ高度精密な血液検査が欠かせないのか
一般検査の画像検査や内視鏡は「目に見える腫瘍」を探すのが得意です。しかし、本当にその症状が腫瘍によるものなのか?異常を隠して平静を装ってはいないか、まだ小さすぎて映らないのではないか?という問いに対する答えには限界があります。
標準検査の“死角”
(“がん”は異常を隠して平静を装う)
標準治療が届かない理由のひとつに、「異常を隠して平静を装う性質の”がん”」の存在があります。
検査では見えず、薬にも反応しにくい――そうした「隠れるがん」が治療を難しくしているのです。一般的な血液検査では、赤血球や肝機能など「全身の健康状態」はわかっても、異常を隠し平静を装った”がん”や、その背景、免疫の異常までは見抜けません。そのため「異常なし」と言われても、実はリスクが潜んでいる場合があるのです。
「手立てがない」と言われる背景にある「異常を隠して平静を装う”がん”の性質」を知っておいてください。標準治療は“見えるがん”に対しては有効でも、“隠れたがん”に対しては力を発揮できないのです。
その標準検査の死角を埋める
リスクチェッカー

上記の通り、通常の検査や治療で捉えられるのは、あくまで“表に出ているがん”であり、“今見える異常”の発見に優れています。リスクチェッカーは免疫・腫瘍関連の27指標を同時に解析し、なぜ免疫が”がん”を見逃したのかといった“見えない領域”まで浮かび上がらせ背景因子を数値化します。
(※)エビデンス 治療担当・院長:宇野克明の研究/臨床実績。がん免疫治療の研究/臨床応用(外来診療)開始以来、およそ29,000例の治療経験症例を有しています。1997年10月24日〜2023年10月31日。
12) 標準治療の副作用一覧
| 治療法 | 主な薬剤・方法 | 想定される副作用 | 備考 |
|---|---|---|---|
| 手術 | 開腹または腹腔鏡による胃切除術 | 疼痛、感染、腸閉塞、排便習慣の変化、ダンピング症候群、体重減少、栄養吸収不良 | 高齢者や合併症のある方では回復に時間を要する。リハビリや食事・栄養管理が重要。 |
| 抗がん剤 | オキサリプラチン、イリノテカン、フルオロウラシル系、分子標的薬、免疫チェックポイント阻害薬など | 吐き気、下痢、しびれ、骨髄抑制(白血球減少)、口内炎、倦怠感、脱毛 | 副作用の程度には個人差が大きい。耐性や効果減弱が起こる場合もある。 |
| 放射線治療 | 出血コントロールや再発部位への照射 | 胃潰瘍、腸障害、皮膚炎、倦怠感 | 胃がんでは補助的に用いられることが多い。累積線量に注意。 |
13) 「手立てがない」と言われる理由
1. 手術ができない場合
腫瘍の広がりや転移の状況、また体調や年齢などによっては、手術以外の方法を検討することがあります。
2. 抗がん剤の限界
初めは効いても、時間が経つと 耐性ができ、効果が薄れる/薬ごとに副作用が強く、投与を続けられない
・オキサリプラチン:しびれ、冷感過敏
・イリノテカン:下痢、白血球減少
・フルオロウラシル系:口内炎、倦怠感、骨髄抑制
このように「効く薬がもう残っていない」と言われる状況になります。
3. 体力の低下
長い治療で消耗し、食欲不振や筋力低下が進む/免疫力も落ち、副作用への耐性がなくなる。結果的に「治療そのものに耐えられない」と判断されることも少なくありません。
4. 標準治療の“枠”による限界
ガイドラインに沿った治療が尽きると、「もうできることはありません」と説明される。これは「治療法が本当にない」という意味ではなく、保険診療の範囲では選択肢が尽きたということです。
5. 一方で残されている道
標準治療が尽きたからといって、すべての道が閉ざされるわけではありません。標準治療の枠の外にある選択肢 によって、新たな可能性が開けることがあります。ただし、標準治療の外に出ると主治医からの説明は限定的になり、患者さんやご家族が自ら情報を探し、道を選ぶ力が求められます。
胃がんの症状・再発・転移に不安を感じている方へ
ご家族の方もご相談いただけます

胃がんの治療症例請求
胃がんの治療症例やリスクチェッカー検査資料一式をご指定場所に郵送あるいはダウンロード頂けます(無料)

LINE画像無料アドバイス
お持ちのCTやMRI画像、診断資料を送信してくだされば宇野院長がアドバイス致します(無料)。

ご相談・お問合せフォーム
胃がんの症状・再発・転移に不安を感じている方で、お電話が難しい方はフォームからお問い合わせ下さい。
14) ステージ4=末期、手の施しが無いと告げられても、まだ選べる治療法があります
「もう末期だから」と諦める前に。
実はステージ4と末期がんは同じ意味ではなく、治療の選択肢は残されています。

■ ステージ分類(1〜4)
がんの大きさや転移の有無など、“広がり具合”を示す目安。必ずしも病状の深刻さを意味するものではありません。
■ 末期がん
体力が著しく低下し、日常生活が困難になった状態。ステージ分類とは別の概念です。
ステージ4、進行がんと、どうやって戦うか
免疫を強化する? しかしいくら免疫細胞を強くしても、異常を隠して平静を装ってしまったがん細胞には免疫細胞は手が出せません。がんは巧妙に 免疫から姿を隠す のです。なぜ隠れたのか、その原因を突き止め、がんを『見える化』し、キラーT細胞が再び認識して働きかけるよう促す――。こうした新しい仕組みを利用した免疫療法が、もう一つの選択肢となり得ます。当院のMHCクラスⅠ誘導型免疫治療には、こうしたステージ4・進行がん・“手の施しがない”と言われた「隠れたがん」と戦おうとする方が多くご相談にいらしています。
詳しくは、次のセクションでご紹介する「MHCクラスⅠ誘導型免疫治療」をご覧ください。
15) 免疫から隠れる
“胃がん”の正体
私たちの体には、毎日生まれる「異常な細胞」を見張り、排除する免疫システムがあります。本来なら、この仕組みが働いて大腸のがん細胞も攻撃されるはずです。ところが、がん細胞はとても巧妙で、免疫の監視をすり抜ける方法を身につけています。
● 異常を隠して平静を装う:細胞の表面に出す“異常のサイン”を減らしたり消したりして、あたかも「普通の細胞」のように装う。
● ブレーキをかける:免疫細胞に「攻撃しないで」という信号を送り、働きを弱める。
こうした結果、免疫細胞が「異常だ」と気づけず、がんが体内で生き残り、増えていってしまうのです。
16) 異常を隠して平静を装う“がん”を暴く
― MHCクラスⅠ誘導型免疫治療
標準治療は“見えるがん”には有効ですが、“隠れるがん”には届きません。そこで開発されたのが、MHCクラスⅠ誘導型免疫治療です。。『MHCクラスI誘導型がん免疫治療』は、「免疫がなぜ”がん”に気づけなかったのか」 に深く踏み込み、がんを再び免疫の標的として浮かび上がらせ(示し)、キラーT細胞に再認識・攻撃させることを目指す治療です。
実際に、当院のMHCクラスⅠ誘導型免疫治療には、ステージ4・進行がん・「手の施しがない」と告げられた方々が多くご相談に来られています。
副作用に配慮した設計
MHCクラス1複合型免疫治療

「免疫を高める」だけでは
限界があると言われる理由
免疫治療は「思うような結果が得られなかった」といった声があります。
それは、『免疫を高めることに注目する一方で、姿を隠した”がん細胞を免疫に見える状態”にするという視点が、十分に取り入れられていなかった』ことが挙げられます。MHCクラスI治療は、その“見える化”に焦点を当てた治療アプローチです。

“名札”を見つけてから
攻撃を再開するキラーT細胞

キラーT細胞が癌細胞の名札を発見し対応しているイメージ図
(※)エビデンス 治療担当・院長:宇野克明の研究/臨床実績。がん免疫治療の研究/臨床応用(外来診療)開始以来、およそ29,000例の治療経験症例を有しています。1997年10月24日〜2023年10月31日。治療効果や副作用には個人差があります。最終的な適応・計画は医師の診断に基づきます。本ページの医学情報は一般的説明であり、診断・治療を置き換えるものではありません。
出典 : 国立がん研究センター がん情報サービス(大腸の統計)
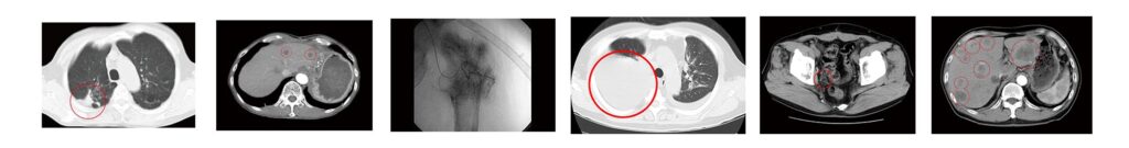
17) 胃がん症例①②③

(※)エビデンス 治療担当・院長:宇野克明の研究/臨床実績。がん免疫治療の研究/臨床応用(外来診療)開始以来、およそ29,000例の治療経験症例を有しています。1997年10月24日〜2023年10月31日。
胃がんの症状・再発・転移に不安を感じている方へ
ご家族の方もご相談いただけます
抗がん剤治療/放射線治療/外科手術と
併用治療 が可能です

かかりつけ病院で化学療法や放射線治療の標準治療を行いながら、MHCクラス1ネオアンチゲン複合免疫治療の併用が可能です。

● 外科手術と併用
● 化学療法(抗がん剤治療)と併用
● 放射線治療と併用
入院の必要はございません

当院では、最短で最善の結果を目指す治療体制を確立しております。そのため入院して治療をお受けいただく必要がなく、入院いただくための施設もご用意してございません。
胃がんの症状・再発・転移に不安を感じている方へ
ご家族の方もご相談いただけます

胃がんの治療症例請求
胃がんの治療症例やリスクチェッカー検査資料一式をご指定場所に郵送あるいはダウンロード頂けます(無料)

LINE画像無料アドバイス
お持ちのCTやMRI画像、診断資料を送信してくだされば宇野院長がアドバイス致します(無料)。

ご相談・お問合せフォーム
胃がんの症状・再発・転移に不安を感じている方で、お電話が難しい方はフォームからお問い合わせ下さい。





















