ホーム » 大腸がん(症例2)
目次
42歳女性:
大腸がん手術後多発性肝転移、
治療併用が望まれました
治療断念〜ホスピスヘの転院勧奨
4年ほど前に大腸がん(上行結腸)の診断にて根治手術を実施された方です。ところがその2年後に肝転移病巣が発見され、オキサリプラチン・アバスチンといった医薬品による全身抗がん剤治療が行われ、治療当初の3ヶ月ほどはがん腫瘍に一部縮小が認められたのですが、その後は増大に転じ、治療断念とホスピスヘの転院勧奨がなされました。
そこで知人に勧められたサプリメント類を服用し始めましたが、全身倦怠・食欲不振が出現。この時点になって当院外来を受診されました。
抗がん性サイトカインの著しい上昇、
転移がんに対抗すべく上昇したNK細胞活性値を確認
がん免疫の状況を詳細に調べるため、がん高度精密血液検査システム「リスクチェッカー」が即座に実施され、抗がん性サイトカインの著しい上昇(リンパ球失調)と、転移がんに対抗すべく上昇したNK細胞活性値を確認しました。

大腸がん・高度精密血液検査
血液中のがん異常シグナルを発見
27項目血液検査リスクチェッカー >>
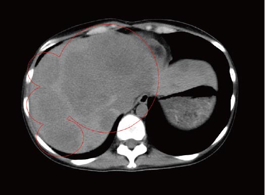
治療前のCT検査結果
来院時のCT(下の画像)では肝臓の右葉に大きく広がる肝転移病巣が認められました。両像所見から勘案すると、正常に機能している肝臓部分は20%以下と推測され、肝不全による病状の急変も非常に懸念される症例でした。

免疫治療前のリスクチェッカー検査結果
リスクチェッカーの結果、抗腫瘍効果の中心をなす抗がん性サイトカインに著しい上昇を認め、いわゆるリンパ球失調(サイトカイン・ストーム)の状態でした。いずれにせよ治療対処が急がれた症例でした。

このようにリスクチェッカーで検査することで、従来の検査方法では発見しづらかった”がん”に関する様々な”サイン”を、より詳細に見つけ出すことができます。
免疫治療のポイントと治療方法
【治療ポイント】
1 体に合わないサプリメント乱用が原因と思われるリンパ球失調改善。
2 リンパ球機能の安定化を図り、抗がん性サイトカインの数値安定を目指す。
3 異常に増大したがん細胞のアポトーシス(免疫学的ながん消滅反応)を促進。
【選択された治療】
1 それまでの民間療法を即時中止。
2 サイトカイン誘導治療としてD-12内服。
3 アポトーシス誘導治療としてアポトーゼMT300内服を併用。
【しかし治療には着手できず…】
こうして現在の状況や対処方法は判明したのでが、免疫治療の理解が得られず、しばらくの経過をおいて抗がん剤治療が再開されました。そしてその甲斐なく、およそ2ヶ月後に永眠。治療併用が望まれた残念なケースとなりました。

大腸がん・免疫治療
※こちらの大腸がん症例は、ご本人のがん病状に対する治療の一例です。例え、同一のがん種であったとしても、その医療判断/対処は個々人において様々であることも事前にご考慮願います。なお、診療費用にかかわる医療費控除については、確定申告の際に各自の申請をお願いしています。ご不明な点は居住地を管轄する税務署にご確認ください。


フリーダイヤルで
大腸がんの無料相談が
今すぐ受けられます。

[受付時間] 平日 10:00〜18:30(土日祝日を除く)
がんの疑問や免疫治療に関するご質問、
治療期間、治療例、検査方法、費用など、
お気軽にご面談、ご相談ください。
初回は当院専任の免疫治療アドバイザーがご対応します。
医師へのご相談ご希望の方はお電話の際申しつけください。
ご家族の方もご相談いただけます。




