目次
65歳男性:ステージ4
肺がんの再発による胸水貯留。
治療の6ヶ月後にほぼ消失し
腫瘍マーカーも正常化。
突然の胸水/判定はステージ4
肺がんステージ2の診断によって2年前に近隣の病院で根治手術を実施。しかし術後1年目に再発し、右肺に大量の胸水が貯留、ステージ4と診断されてしまった症例です。当初、手術後には標準治療に則った全身抗がん剤治療が実施されましたが、残念ながら功を奏せず中止となりました。その結果、ほどなくして腫瘍マーカーの急激な上昇とともに、右肺に大量の胸水が貯留しまったそうです。
受診〜リスクチェッカー検査
この時点で宇野医師が担当する腫瘍免疫外来を受診。即座に複合血液検査プログラム「リスクチェッカー」検査が実施され、腫瘍の増殖により生じた免疫異常や、複数のがん関連抗原検査によるがん活動性の調査が行われました。
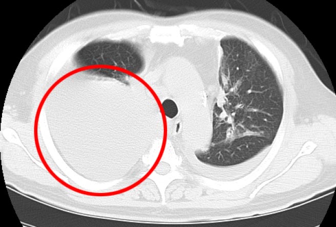
治療前のCT検査結果
治療前CTでは右肺に大量貯留した胸水が認められました。

治療前のリスクチェッカー検査結果
がん腫瘍への免疫応答をになう抗がん性サイトカイン/全般に猛烈な数値の上昇が認められ、無秩序な免疫応答が持続する「サイトカイン・ストーム」の状況にあるものと判断されました。併せて、予後不良の指標となるヘルパーTh2細胞比率の上昇もあり、早急な免疫対処の重要性が示唆されました。

このようにリスクチェッカーで検査することで、従来の検査方法では発見しづらかった”がん”に関する様々な”サイン”を、より詳細に見つけ出すことができます。東京MITクリニックでは、一人ひとり異なる細胞現状を正確に把握し、一人ひとりに適した治療法をご案内しています。まずはお気軽にご相談ください。(電話相談無料 >>)

肺がん・高度精密血液検査
血液中のがん異常シグナルを発見
27項目血液検査リスクチェッカー ▶︎
治療ポイントと治療方法
【治療ポイント】
1.がん細胞の識別マーカー「MHCクラスⅠペプチド」の再発現による免疫応答の回復と、サイトカイン・ストーム沈静化を目指す。
2.がん腫瘍に対する免疫応答の促進を図るため、アポトーシス(プログラム細胞死)の誘導促進。
【選択された治療】
ネオアンチゲン複合免疫治療の中から以下を選択
・ペプチド誘導(MHCクラスⅠペプチド)を実施
・アポトーシス誘導(プログラム細胞死の誘導)を実施

肺がん・免疫治療
診療費(税込)
| 初診料(初回) | 22,000円 |
| 再診料(5日) | 27,500円 |
| リスクチェッカー検査 | 132,000円 |
| ペプチド誘導(3回) | 1,716,000円 |
| アポトーシス誘導(3ヶ月) | 316,800円 |
| 血液検査(経過観察用:3回) | 34,650円 |
| その他雑費(消耗品) | 4,620円 |
| 合計費用 | 2,253,570円(税込) |
※こちらの肺がん症例は、ご本人のがん病状に対する治療の一例です。例え、同一のがん種であったとしても、その医療判断/対処は個々人において様々であることも事前にご考慮願います。なお、診療費用にかかわる医療費控除については、確定申告の際に各自の申請をお願いしています。ご不明な点は居住地を管轄する税務署にご確認ください。








