前立腺がん(症例2)


ホーム » 前立腺がん(症例2)

66歳男性:前立腺がん
骨盤内リンパ節転移ステージ4
治療期間3ヶ月でリンパ節の転移病巣がほぼ消滅


早期の治療チャンスを失う

ある時から排尿が困難になり始めましたが、“単なる前立腺肥大だろう”と思いこみ、二年以上も早期治療のチャンスを失ってしまった症例です。
いよいよ、「もしや、前立腺がんでは?」と考えなおした頃には病状悪化も著しく、急ぎ、総合病院の泌尿器科を受診したそうです。結果は、「かなり進行した前立腺がん」と診断され、すみやかに手術が行われました。そして手術後にはホルモン治療の併用も始めたのですが、腫瘍マーカーPSAの数値は芳しくなく上昇に歯止めがかかりません。そして、いつしか一年が経ち、PSA値に急激な再上昇が始まったため、再びCT検査の受診を決断します。
結果は、骨盤内部のリンパ節にも広く転移した「再発がん」で、ステージ4相当との判定でした。


リスクチェッカー検査で
全貌が明らかに

その後も友人が勧めたサプリメント類を試したり、民間療法に頼ったりもしましたが、改善の兆しは当然現れません。そのような状況になって宇野医師が担当する腫瘍免疫外来の受診に至りました。そして、がん専門/複合血液検査プログラム「リスクチェッカー」検査によって、ようやく体内に広がったがん病状の全貌が明らかになったのです。


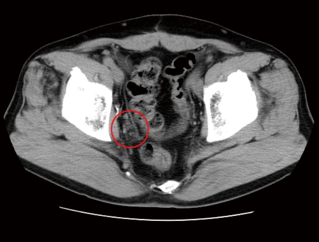
治療前のCT検査結果

免疫治療前に拝見したCT検査によると、骨盤の底部/右側(写真では左・赤マル部分)を中心に、複数のリンパ節転移によって形成されたがん病巣が認められました。

前立腺がんリンパ節に転移したCT画像

リスクチェッカーによる免疫異常結果

がん腫瘍への免疫応答をになう抗がん性サイトカイン項目全般に著しい低下が認められ、長期間にわたる不十分な治療によって生じたと思われる「免疫疲弊」も確認されました。 また、予後不良の指標となるヘルパーTh2細胞比率にも上昇が認められたため、早急なる免疫対処の必要性が指し示されたのです。

リスクチェッカー検査結果用紙

このようにリスクチェッカーで検査することで、従来の検査方法では発見しづらかった”がん”に関する様々な”サイン”を、より詳細に見つけ出すことができます。東京MITクリニックでは、一人ひとり異なる細胞現状を正確に把握し、一人ひとりに適した治療法をご案内しています。まずはお気軽にご相談ください。(電話相談無料 >>)


治療ポイントと治療方法

[治療ポイント]

1.残存したがん細胞表面の識別マーカー、「MHCクラスⅠペプチド」の再発現を目指す。
2.がん腫瘍への免疫応答促進を図り、アポトーシス(プログラム細胞死)の発動を促す。
3.免疫活性物質(サイトカイン)値の改善を図り、がん腫瘍に対する免疫応答を回復させる。

[選択された治療]

ネオアンチゲン複合免疫治療の中から以下の治療が選択されました。
・ペプチド誘導(MHCクラスⅠペプチド)の実施
・アポトーシス誘導(プログラム細胞死の誘導)の実施
・サイトカイン誘導の実施

【治療の結果】

関連法令及びガイドラインに則り、治療の結果は 問合せフォーム>> または フリーダイヤル>> でお問合せ下さい。


診療費用(税込)

初診料(初回)22,000円
再診料(5日)27,500円
リスクチェッカー検査132,000円
ペプチド誘導(1回) 572,000円
アポトーシス誘導(3ヶ月)316,800円
サイトカイン誘導(3ヶ月)237,600円
血液検査(経過観察用:3回)19,800円
その他雑費(消耗品)2,090円
合計費用 1,329,790円(税込)

※こちらの前立腺がん症例は、ご本人のがん病状に対する治療の一例です。例え、同一のがん種であったとしても、その医療判断/対処は個々人において様々であることも事前にご考慮願います。なお、診療費用にかかわる医療費控除については、確定申告の際に各自の申請をお願いしています。ご不明な点は居住地を管轄する税務署にご確認ください。


フリーダイヤルで
前立腺がん
の無料相談が
今すぐ受けられます。

フリーダイヤル0120-556-135

[受付時間] 平日 10:00〜18:30(土日祝日を除く)
がんの疑問や免疫治療に関するご質問
治療期間、治療例、検査方法、費用など、
お気軽にご面談、ご相談ください。

初回は専任の免疫治療アドバイザーがご対応します。
医師へのご相談ご希望の方はお電話でお知らせ下さい
ご家族の方もご相談いただけます。

WEBでのお問い合わせフォーム 24時間365日受付

あなたの前立腺がん該当する
免疫治療実例

詳細な資料を無料でお届けします

がん免疫治療の実例症例や関連資料を▶︎郵送でお届けします。なお▶︎ダウンロードによるPDF(総合案内版のみ)もお選び頂けます。



PAGE TOP